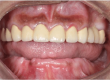
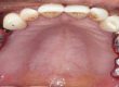
Systemic lupus erythematosus (SLE) presents as a chronic inflammatory autoimmune disease that can often demonstrate multisystem involvement. Since, immune-suppressive drugs are used in the treatment of this disease, it can possess an elevated risk of infection and delay healing. Moreover, damage to the salivary glands in this disease leads to reduced salivation. Together, these complications can be a primary concern in dental treatment procedures owing to inability to maintain oral hygiene and risk of implant failure. This is the first case report in literature to our knowledge and it represents a treatment option and procedure for immediate full mouth rehabilitation after extraction without raising flaps using basal cortical screw implant in a patient who was on corticosteroid for over 20 years as she was diagnosed with Systemic Lupus Erythematosus. Since there are very few cases of SLE reported in literature with the use of oral implants, treating these patients can often pose a challenge.
Abstract






