denta-health-mandibular-reconstruction

Mandibular reconstruction using single piece zygomatic implant in conjunction with a reinforcing Fibular Graft Union: a case report

Abstract Presenting to our knowledge, for the first time in literature, a case report on the long term follow-up of an implant retained fixed prosthesis on free fibular reconstruction with a single piece zygomatic implant and single piece bicortical implant via a flapless approach and immediate functional rehabilitation. The technique involved the concept of “Remote…

Details
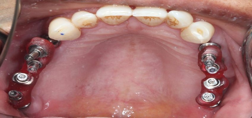
denta-health-strategic-implants-publication

Multi-unit connection for the Strategic Implant®: an innovative way for achieving retrievability of prosthetics on fully polished single piece implants used in an immediate loading protocol

Abstract The concept of Strategic Implant® is well proven by long-term results that were acquired with scientific methods. The concept allows treatment of cases with mild to severe atrophy, as well as all other standard cases. From the field of 2-stage-implants we know, that some practitioners tend to use screw connection between the implants and…

Details
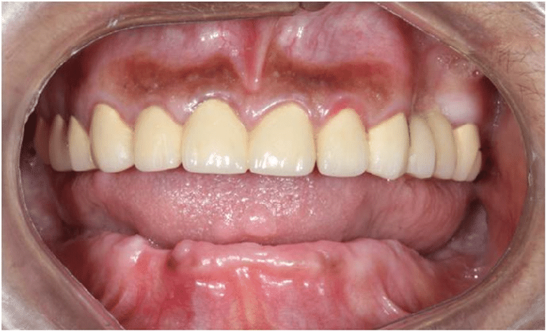
denta-health-full-mouth-replacement-dr-anita

Full mouth rehabilitation using immediate loading basal implants in a systemic lupus erythematosus patient: a case report

Abstract Systemic lupus erythematosus (SLE) presents as a chronic inflammatory autoimmune disease that can often demonstrate multisystem involvement. Since, immune-suppressive drugs are used in the treatment of this disease, it can possess an elevated risk of infection and delay healing. Moreover, damage to the salivary glands in this disease leads to reduced salivation. Together, these…

Details
denta-health-aggressive-periodontitis

Aggressive periodontitis in a setting of established crohn’s disease: a complex interplay of etiological factors affecting disease outcome

Abstract The prevalence of periodontal disease seems to be increased in patients with inflammatory bowel disease (IBD). Moreover, the induction of periodontitis seems to result in gut dysbiosis and altered gut epithelial cell barrier function in which one disease might alter the composition of the microbiota and increase the inflammatory response related to the other…

Details
denta-health-immediate-loading-publication

Immediate Loading of Edentulous Mandibular Arch with Screw Retained Final Prosthesis on Strategic Implants® With Single Piece Multi Unit Abutment Heads: A Case Report

Abstract The technology that was developed for the Strategic Implant® differs significantly from the conventional root-form implants. The Strategic Implant® works with the bone, and it follows the principles of orthopaedic surgery and traumatology. They are placed in such a way in to the bone, that the apical load transmitting threads of the implants are…

Details
denta-health-impression-post-splinted-with-pattern-resin-and-before-pick-up-impression

Immediate Loading of Implants in the Partially Edentulous Maxilla

Recently the technology of theStrategic Implant® has gained popularity worldwide, owing to its unique horizontal retention design that functions by getting engaged into the basal (2nd or 3rd) cortical bone, thus allowing it to be placed even in those cases, where the vertical bone supply is reduced such as moderate to severe or even ultimately resorbed ridges.

Details
denta-health-distribution-of-the-length-of-the-anterior-loop-on-the-left-and-right-side-of-the-mandible

A Retrospective Cone Beam Computed Tomography (CBCT) Study of the Assessment of the Length of the Anterior Loop of the Inferior Alveolar Nerve

Abstract Objectives: Interforaminal implant surgery requires anatomical knowledge of the area and adequate information on the location of the various landmarks of significance such as the mental foramen, the anterior loop of the inferior orbital nerve and the mandibular incisive canal using Cone beam computed tomography (CBCT). This information may be used to provide recommendations…

Details
denta-health-intaglio-surface-of-final-prosthesis-showing-modified-ovate-pontic-dr-anita

Modified Ovate Pontic Design for Immediate Anterior Tooth Replacement

Pontic is an artificial substitute for the missing tooth. The design of this prosthetic tooth will be dictated by esthetics, functions, hygiene, patient comfort and maintenance of the edentulous ridge. An ovate pontic has been widely recommended to fulfill both esthetic and functional requirements of the prosthesis.

Details